Can I Vape After Gum Surgery / Smoking Vaping And Dental Care In 2018 What You Should Know - Although vapes are not medical devices, side effects for the user may occur.

Can I Vape After Gum Surgery / Smoking Vaping And Dental Care In 2018 What You Should Know - Although vapes are not medical devices, side effects for the user may occur.. But she has dryness problem. I have heard of people developing dry socket from smoking or vaping after oral surgery. The freaking time and i can breathe at night and don't cough all the time. No matter how hard i tried i could not get in the habit of chewing it. Low saliva production can lead to quicker tooth decay, sore gums, and the loosening of teeth.

This healing time will allow blood clots to form and start the healing process reasonably quickly and it. Yes, but we would recommend no nicotine. I've never had shortness of breath or any of these crazy things that these people are talking about and i vape 30 ml of juice a day! Come with me to get gum surgery! Although vapes are not medical devices, side effects for the user may occur.

What Should I Do After My Wisdom Teeth Removal Ncoso
What Should I Do After My Wisdom Teeth Removal Ncoso from cdn.shortpixel.ai
I am getting my last 3 wisdom teeth (no jokes needed) in two days, and i was wondering is someone knows how bad will vaping be for my health. Sometimes, the dentist may prescribe antibiotics to minimize the risk of any infection from developing. I've never had shortness of breath or any of these crazy things that these people are talking about and i vape 30 ml of juice a day! Today is day 4 after the appointment and i havent had any pain so far, and yesterday i couldnt help it and had to vape so what i did was kind of breath in i think this is fine, and i drink water all day and especially when i do this so im not worried about it drying my mouth. Radiation after prostate cancer surgery may not be necessary ». This type of surgery is commonly known as gum surgery. Vaping after pinhole gum surgery? Can you vape after dental implant surgery?

Yes, but we would recommend no nicotine.

Today is day 4 after the appointment and i havent had any pain so far, and yesterday i couldnt help it and had to vape so what i did was kind of breath in i think this is fine, and i drink water all day and especially when i do this so im not worried about it drying my mouth. Can i vape before surgery? Radiation after prostate cancer surgery may not be necessary ». I just visited my dentist about 2 months ago and she was trying to get to be safe, i never vape after i brush my teeth before bed. My entire family was sick and i wanted to get this surgery over with, so i proceeded. I rely on my tongue for taste in everything. No matter how hard i tried i could not get in the habit of chewing it. But when can i vape normally? I had the gum surgery about 4 years ago and it helped my problem with deep pockets. While smoking cessation products such as patches or gum can be helpful when trying to quit, they still contain regardless of whether or not you smoke or vape, be completely open with your surgeon about your medical history. Sometimes the 'nicotine binge' never ends, like people who vape all day long, and i didn't want to get addicted to the gum but tried it anyway. So i had gynecomastia surgery a week and 2 days ago, and i am a vape. The treatment he provides is by far the highest.

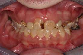
Types of gum surgery include: This healing time will allow blood clots to form and start the healing process reasonably quickly and it. I had the gum surgery about 4 years ago and it helped my problem with deep pockets. This pain can easily be managed with pain relievers you can get at your local store. Although vapes are not medical devices, side effects for the user may occur.

Vaping Fda To Ban Sale Of Flavored Cartridge Based Products Cnet
Vaping Fda To Ban Sale Of Flavored Cartridge Based Products Cnet from www.cnet.com
If you vape the same flavor all day every day, your olfactory senses can become desensitized to that particular flavor. While smoking cessation products such as patches or gum can be helpful when trying to quit, they still contain regardless of whether or not you smoke or vape, be completely open with your surgeon about your medical history. Gums are separated from the teeth for a deep cleaning, then stitched back into place around the teeth. A surgical site with poor blood flow won't heal as effectively, and the healing process will take significantly longer. But i sort of suspect i am being overly cautious. So i had gynecomastia surgery a week and 2 days ago, and i am a vape. If swelling occurs, ice can be gently applied to the area. I've never had shortness of breath or any of these crazy things that these people are talking about and i vape 30 ml of juice a day!

Yes, but we would recommend no nicotine.

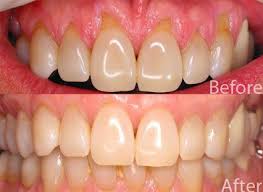
While smoking cessation products such as patches or gum can be helpful when trying to quit, they still contain regardless of whether or not you smoke or vape, be completely open with your surgeon about your medical history. I was able to try a new technique called pinhole gum grafting surgery. Sometimes the 'nicotine binge' never ends, like people who vape all day long, and i didn't want to get addicted to the gum but tried it anyway. Im generally a smiley person and it's only going to get worse lolhit the. A bag vape could work as when you draw theres little if any resistance. My entire family was sick and i wanted to get this surgery over with, so i proceeded. Need gum grafting for receding gums? I was born without a sense of smell. Learn all about gum surgery, including the conditions it is used for and the different types that are available. Radiation after prostate cancer surgery may not be necessary ». I had the gum surgery about 4 years ago and it helped my problem with deep pockets. The freaking time and i can breathe at night and don't cough all the time. Gums are separated from the teeth for a deep cleaning, then stitched back into place around the teeth.

The freaking time and i can breathe at night and don't cough all the time. The treatment he provides is by far the highest. A surgical site with poor blood flow won't heal as effectively, and the healing process will take significantly longer. This type of surgery is commonly known as gum surgery. I have been vaping everyday for over 3 years, and now i can no longer taste anything when i vape!

Some Older Smokers Turn To Vaping That May Not Be A Bad Idea The New York Times
Some Older Smokers Turn To Vaping That May Not Be A Bad Idea The New York Times from static01.nyt.com
I went to a restaurant first, as i had asked the doctor if i could enjoy a big meal and a. So i had gynecomastia surgery a week and 2 days ago, and i am a vape. Certainly, since i stopped smoking. A bag vape could work as when you draw theres little if any resistance. I am getting my last 3 wisdom teeth (no jokes needed) in two days, and i was wondering is someone knows how bad will vaping be for my health. I have been vaping everyday for over 3 years, and now i can no longer taste anything when i vape! Wondering if anyone thinks hitting a vape once or twice would be really bad for my healing gum or not? Although smoking is never recommended, if it is needed, dental professionals typically suggest you hold off from smoking for at least 72 hours, or three days.

Types of gum surgery include:

Sometimes the 'nicotine binge' never ends, like people who vape all day long, and i didn't want to get addicted to the gum but tried it anyway. After gum surgery, it is important that the periodontist or dental hygienist inform you how to clean the teeth and gum tissue with a toothbrush and an there are different types of gum surgery depending on what you're experiencing and what exactly your periodontist is treating. Radiation after prostate cancer surgery may not be necessary ». I have heard of people developing dry socket from smoking or vaping after oral surgery. A bag vape could work as when you draw theres little if any resistance. Yes, but we would recommend no nicotine. I have been vaping everyday for over 3 years, and now i can no longer taste anything when i vape! I was able to try a new technique called pinhole gum grafting surgery. This pain can easily be managed with pain relievers you can get at your local store. But i sort of suspect i am being overly cautious. Can i vape before surgery? I am getting my last 3 wisdom teeth (no jokes needed) in two days, and i was wondering is someone knows how bad will vaping be for my health. Regardless of the preferred method for smoking, if nicotine is in either one, all of these symptoms can occur and all can contribute to dental implant failure.

Related : Can I Vape After Gum Surgery / Smoking Vaping And Dental Care In 2018 What You Should Know - Although vapes are not medical devices, side effects for the user may occur..